덧니 교정과정 및 교정후 변화

 {덧니 교정 과정 및 교정 후 변화된 모습}

 

ex_orth_parkyekyoung (1)

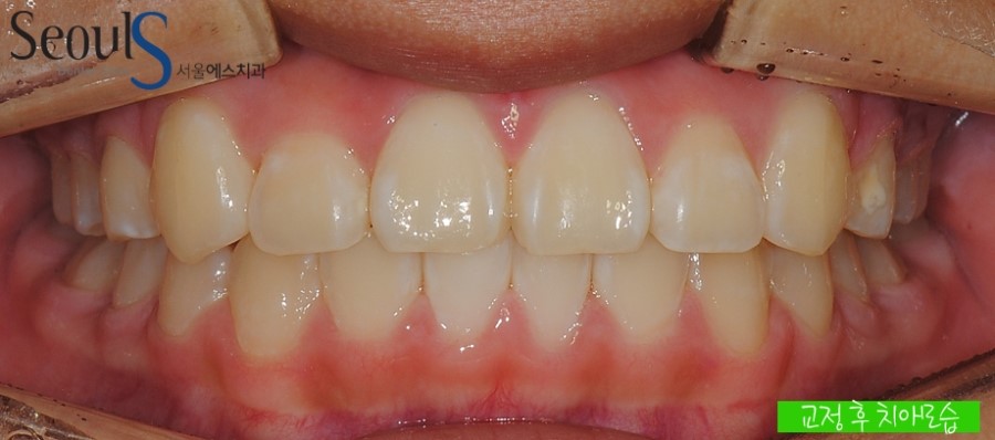
교정 전후 모습입니다

덧니 교정 전후 모습으로 입을 벌렸을 때 가지런하지 못했던 치열이 교정 후 가지런해진 모습입니다

 

ex_orth_parkyekyoung (2)

교정 전 치아 모습으로 치아가 삐뚤게 난 모습입니다

 

ex_orth_parkyekyoung (3)측면 모습으로 고르지 못한 치아 모습입니다

 

ex_orth_parkyekyoung (4)

위아래 치아 모습입니다  가지런하지 못한 치아 모습입니다

교정치료를 통해서 가지런하게 치료할 예정입니다

 

ex_orth_parkyekyoung (5)

진단 과정입니다

파노라마 X-ray 촬영 , 측면 X-ray 촬영, 진단 모형 제작 및 3차원 분석 후  컴퓨터 교정 진단프로그램에 입력해

진단하며 환자분께 가장 좋은 교정 방법을 제시해드립니다

 

ex_orth_parkyekyoung (6)

진단 후 장치를 부착해 치아를 서서히 이동시켜 가지런한 치아로 교정하게 됩니다

ex_orth_parkyekyoung (7)교정 장치를 부착해 치아를 가지런하게 이동시키고 있는 모습입니다

 

ex_orth_parkyekyoung (8)

교정 후 정면모습입니다

교정 전, 삐뚤었던 치아가 가지런해진 모습입니다

 

보시는 것처럼 교정을 통해서 삐뚤었던 치아를 가지런하고 예쁘게 치료할 수 있습니다

이것이 교정을 하는 이유가 아닐까 생각해봅니다

 

ex_orth_parkyekyoung (9)

교정 전후 모습입니다

 

ex_orth_parkyekyoung (10)

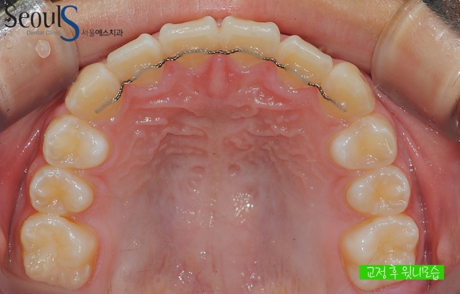
교정 후 윗니 모습입니다

교정 전 삐뚤었던 윗니가

가지런해진 모습입니다

 

ex_orth_parkyekyoung (11)

교정 전후 윗니 모습입니다

 

ex_orth_parkyekyoung (12)

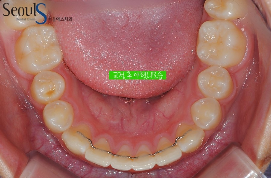
교정 후 아랫니 모습입니다

아랫니 역시 예쁘게 교정 된 모습입니다

 

ex_orth_parkyekyoung (13)

교정 전후 아랫니 모습입니다

 

ex_orth_parkyekyoung (14)

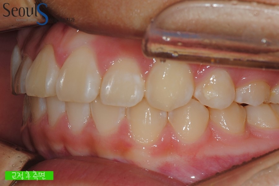
교정 후 측면 모습입니다

측면 역시 고르지 못했는데

예쁘게 교정된 모습입니다

 

ex_orth_parkyekyoung (15)

측면 교정 전후 모습입니다

No comments
Write CommentLIST
WRITE COMMENT

위로이동