심한 앞니충치 올세라믹 치료

{심한 앞니 충치 올세라믹 치료}

 

ex_simmi_kangjungho_1

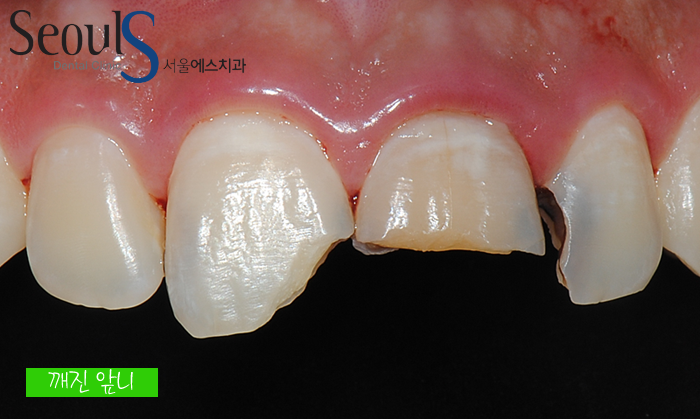
①충치 때문에 깨진 치아

충치 때문에 치아가 깨졌습니다

 

앞니는 심미성이 중요한 치아기 때문에

자연치아와 가장 비슷한 올세라믹 크라운 치료를 계획했습니다

 

ex_simmi_kangjungho_2다른 각도에서 본 치아모습으로

충치 때문에 치아가 깨진 모습입니다

 

ex_simmi_kangjungho_3

②충치치료 및 치아 다듬고 임시치아 결합

환자분과 임시치아를 보면서 앞으로 만들어질 최종 치아의 모양과 형태에 대해서 이야기 한 후

임시치아를 바탕으로 최종치아를 제작 및 결합 합니다

ex_simmi_kangjungho_4

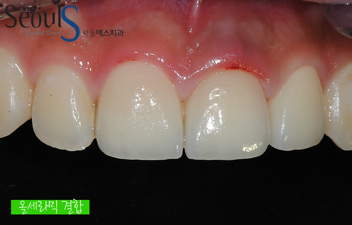
③올세라믹크라운 결합

치료 후 치아모습입니다

 

충치 때문에 깨진 앞니~ 치료 후 올세라믹 크라운을 씌워 치료를 마무리 했습니다

예쁜 올세라믹 보철물이 결합된 모습입니다

ex_simmi_kangjungho_5

치료 전후 모습~

깨진 치아, 올세라믹으로 자연스럽게 치료를 마친 모습입니다

No comments
Write CommentLIST
WRITE COMMENT

위로이동