{치아를 발치하고 2달 기다렸다 임플란트 식립}
치아를 빼고 2달 기다렸다 임플란트를 식립한 증례에 대해서 알아보겠습니다

내원 당시 X-ray 모습입니다
치아 뿌리 부분을 보시면 뼈가 녹았고 치아가 쪼개진 모습입니다
안타깝지만 치아를 살릴 수 없는 상태입니다 ㅜㅜ
실제 치아 모습을 보시면

실제 치아 모습입니다
잇몸과 잇몸뼈가 모두 녹아있는 상태고 치아가 쪼개진 모습입니다
안타깝지만 치아를 살릴 수 없는 상태로 발치를 하고 2달 기다린 후 뼈이식과 함께 임플란트를 식립 할 예정입니다
치아를 발치하고 임플란트를 식립하는 경우 발치 즉시 임플란트 식립을 하면 다양한 장점이 있는데
이번 증례와 같이 잇몸뼈와 잇몸이 많이 파괴돼서 뼈이식이 필요한 상태는
치아를 발치하고 잇몸과 잇몸뼈가 아물기를 기다린 후(2개월) 뼈이식과 함께 임플란트 식립을 하게 됩니다
이는 잇몸이 많이 파괴 된 상태에서는 뼈이식을 하고 뼈이식 부위를 잇몸을 덮어야 하는데
현재는 덮을 잇몸이 없기 때문입니다

발치 후 7일 후 잇몸과 2개월 후 잇몸 모습입니다
예상했던 데로 잇몸은 회복되었고 잇몸뼈 소실로 잇몸이 움푹 들어간 모습입니다
이제 잇몸뼈 이식을 할 수 있는 잇몸이 만들어졌기 때문에 잇몸뼈 이식과 함께 임플란트를 식립 할 예정입니다

임플란트를 식립했는데 임플란트 옆 면 나사 부분이 노출 되었고
노출된 나사 부분은 임플란트 식립을 위해 저속 드릴링 할 때 생긴 가장 효율 좋은 자가골로 정성껏 꼼꼼히 메워주었습니다

뼈이식과 함께 임플란트 식립을 하고 있는 모습입니다
비흡수성 차단막을 사용하고 있는 모습으로 비흡수성 차단막은 수술이 까다로워 일부 치과에서는 사용을 꺼려하지만
뼈를 만들어주는 효과가 확실하기 때문에 비흡수성 차단막을 사용하고 있는 모습입니다
저희 광진구 서울에스치과에서는어려운 뼈이식 임플란트도 최상의 재료 사용과 풍부한 임상 경험으로 100% 성공을 기대할 수 있습니다

수술 후 잇몸을 깔끔하게 봉합한 모습입니다 수술 전 잇몸뼈 부족으로 잇몸이 움푹 들어갔었는데
시술 후 꺼져있던 잇몸이 올라온 모습입니다

수술 1주일 후 모습으로 잇몸이 아물고 있고 들어갔던 잇몸도 볼록 나온 모습입니다
수술은 성공적이고 이제 임플란트와 이식된 뼈가 단단히 굳기를 기다립니다

임플란트 식립 후 X-ray 사진입니다 임플란트가 정확한 부위에 식립 되었고 뼈이식도 성공적인 모습입니다
뼈이식한 뼈와 실제 뼈, X-ray 사진을 비교해보시면
차이가 있어 보이는데 시간이 지나면서 이식된 뼈는 실제 뼈와 같이 변하게 됩니다

시간이 지나 잇몸이 아문 모습입니다
잘 아물고 있죠^^

임플란트와 잇몸뼈가 단단히 굳어서 2차 수술을 하기 전 모습입니다
성공적인 잇몸뼈 이식으로 소실되었던 잇몸과 잇몸뼈가 복원된 모습입니다
치료 전후 모습을 비교해 보시면…

치료 전 움푹 들어갔던 잇몸이 뼈이식 임플란트 수술 후 볼록 나온 모습입니다
임플란트와 이식된 뼈가 단단히 굳었으니.. 치아를 결합하기 위해서 2차 수술을 진행했습니다

2차 수술을 진행하고 있는 모습입니다
잇몸을 열고 차단막을 제거한 후 임플란트를 노출시키는 수술로
원래는 잇몸을 열고 차단막을 제거하면 식립 된 임플란트가 보여야 하는데
성공적인 뼈이식으로 잇몸뼈가 풍부해져
잇몸을 열어보니… 임플란트가 잇몸뼈에 덮여 있는 모습입니다
광진구 서울에스치과에서 사용하는 최상의 재료와 풍부한 임상 경험의 결과라고 말씀드리고 싶네요^^
임플란트를 잇몸 밖으로 노출시키는 2차 수술을 마무리 한 모습입니다
이제 임시치아 과정을 거쳐 치아를 결합하게 됩니다

임시 치아를 제작하기 위해서 본을 뜨는 과정으로
임시 치아 제작 후 충분히 사용하면서 불편함은 없는지 체크한 후 최종 이를 결합하게 됩니다

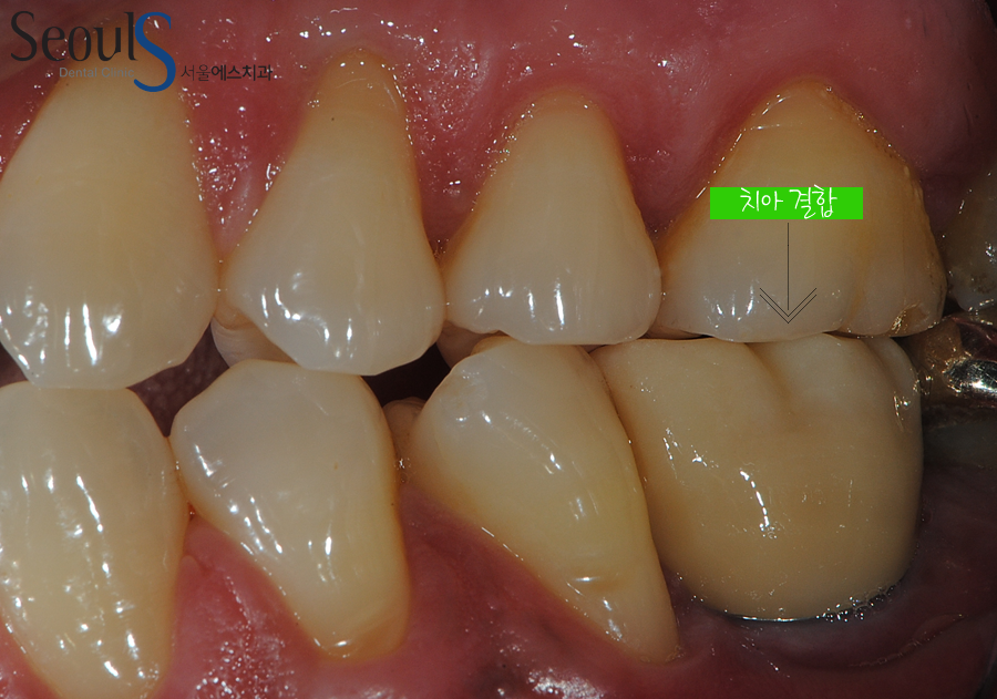
임시치아 과정을 거쳐 최종 이를 결합한 모습입니다
이쁘게 치료가 마무리된 모습이죠

측면에서 본 치아 모습입니다

보철물 결합 후 모습으로
앞서 뼈이식 후 X-ray 사진에서 이식된 뼈와 실제 뼈와 차이가 있었는데
이식된 뼈가 점점 실제 뼈처럼 변화되고 있는 모습입니다
임플란트가 정확한 위치에 식립 되었고 뼈이식도 성공적이고 보철물도 잘 결합된 모습입니다

치료가 끝나고 1년 후 검진을 받기 위해서 오셨을 때 X-ray 모습으로
1년이 후에도 1년 전과 변화된 거 없이 그대로인 모습입니다
앞으로도 계속 임플란트를 잘 사용하실 거라 생각됩니다
왜냐하면
저희 광진구 서울에스치과는 최상의 재료를 사용하고, 꼼꼼한 치료를 하며, 임상 경험이 풍부하기 때문에
평생 사용할 수 있는 임플란트 치료를 기대하셔도 됩니다
