{앞니 사이 충치 레진 치료}

화살표로 표시한 부분에서 충치가 진행되고 있습니다
앞니는 씹는면은 면적이 좁기 때문에
충치는 주로 치아 사이에 음식물이 꼈을 때 진행되며
치아 사이에서 시작 되
치아 속으로 진행되기 때문에 눈에 잘 보이지 않아 발견하기도 힘듭니다

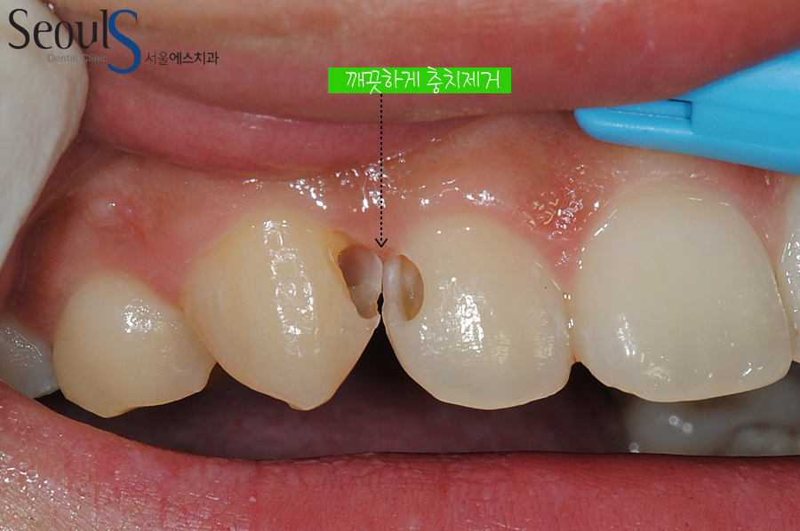
충치를 제거하고 있습니다
치아 속으로 검게 충치가 진행되고 있는 모습입니다
진행되고 있는 충치를 깨끗하게 제거한 뒤
치아 색과 거의 비슷한 레진으로 감쪽같이 때워 치료를 마무리할 예정입니다

충치를 깔끔하게 제거한 모습입니다
이제
충치 제거 후 생긴 빈 공간을 치아색 레진으로 때워 치료를 마무리하게 됩니다

치아의 빈 공간을 레진으로 때워 치료를 마쳤습니다
자연스럽고 예쁘게 레진 치료가 마무리된 모습입니다

치료 전후 치아모습입니다
치아 사이에 진행되고 있는 충치!
충치 제거 후 레진으로 때워 치료를 마무리했습니다
