티나는 앞니레진 라미네이트치료

{앞니 레진 라미네이트 치료}

 

resimlaminate (1)

예전에 타 치과에서 앞니 틈 레진 치료를 받았습니다

치료를 받은 부분이 티 나는 모습입니다

 

환자분께서는 자연스럽고 예쁜 앞니를 원하셨습니다

이에

레진을 제거 후 라미네이트 치료를 계획했습니다

 

resimlaminate (2)

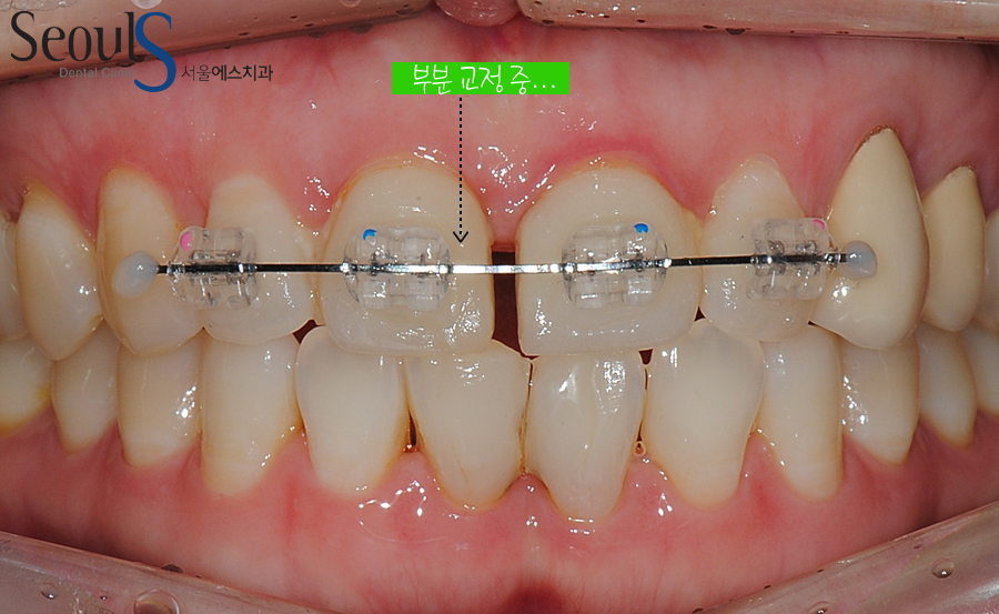
레진 제거후 교정 장치를 부착했습니다

레진을 제거하니…..앞니 틈이 보였고

 앞니 부분교정을 진행하고 있습니다

부분 교정을 하는 이유는 치아 사이 공간을 줄여~~ 보다 좋은 결과를 얻기 위해서 입니다

 

resimlaminate (3)

교정을 진행하고 있습니다

 

resimlaminate (4)

치아의 겉 표면을 다듬었습니다

이제

인조 손톱 모양의 라미네이트를 제작해 치아에 붙여 치료를 마무리 하게 됩니다

 

resimlaminate (5)

라미네이트를 붙였습니다

주변 치아와 잘 어울리고 예쁘게 치료가 마무리 된 모습입니다

resimlaminate (6)

치료 전 후 모습입니다

 

No comments
Write CommentLIST
WRITE COMMENT

위로이동