{덧니 발치교정}

보시는 사진은 배열이 어긋난 치아를 치아교정을 통해 바로잡아준 모습입니다
치아교정은 치료 시작 전 정밀 진단을 통해 현재 상태를 분석하여 전체적인 치료 계획을 세우는데요

보시는 치아는 위턱과 아래턱~
즉, 골격적인 부분은 정상이나
공간 부족으로 인한 치아배열 이상(덧니)과 위아래 중심선이 맞지 않는 비대칭 문제를
가지고 있었습니다
또한 위, 아래의 끝이 물리는 부정교합의 문제도 관찰되었습니다.
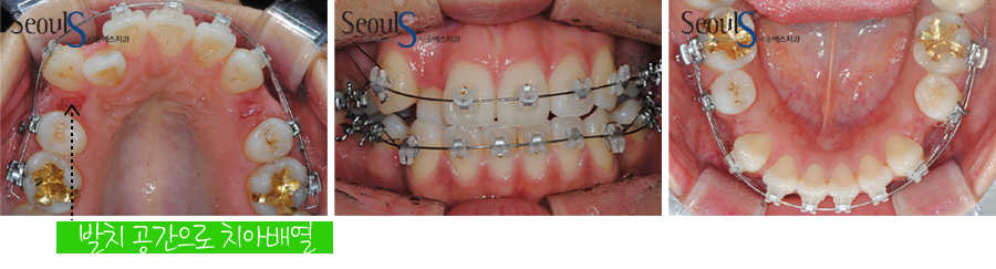
교정치료를 하는 과정입니다

교정 발치를 통해 발치 공간으로 어긋나있는 치아를 배열합니다

교정용 미니스크류를 이용하여 왼쪽으로 틀어져 있는 치아들을 이동시켜 중심선을 맞추면서
발치 공간을 모읍니다

발치 공간이 다 모이면 윗니와 아랫니가 잘 물릴 수 있도록 조정합니다

유지 장치를 연결하였고 교정치료는 마무리되었습니다
