무치악 임플란트
아래턱과 위턱에 치아가 하나도 없을 때 임플란트로 치아를 복원하는 무치악 임플란트에 대해서 알아보겠습니다
예전에는 임플란트의 비용 때문에 치아가 하나도 없을 때 임플란트로 치료하기에는 비용적인 면에서 부담이 컸습니다
요즘은 예전에 비해 임플란트의 비용이 저렴해졌고 의료보험 적용도 있어서
치아가 하나도 없는 무치악이신 분들이 임플란트로 치아를 복원하는 경우가 많아졌습니다
아마도 부모님 치아 때문에 이 글을 읽고 있는 분들이 많을 거라 생각되는데요
서울에스치과에서는 무치악 임플란트 치료를 어떻게 진행하는지 알아보겠습니다

내원 당시 X-ray 사진입니다
윗니는 잇몸 염증으로 잇몸뼈가 소실된 상태로 치아가 흔들리는 상황입니다
안타깝지만 치아를 살릴 수 없는 상태!
치주염으로 다수의 치아가 한꺼번에 흔들리는 상황으로
치주염의 원인은 치석입니다. 평소 정기적으로 스케일링을 받았다면
이렇게까지 치아가 빠지지는 않았을 거라 생각됩니다
여러분들 성인이면 1년에 한번 스케일링이 의료보험 적용되니까
꼭! 1년에 한번 치과에 가셔서 스케일링과 치아 검진 받으시기 바랄게요
아래 치아도 잇몸뼈가 소실된 모습으로 대부분의 치아를 살릴 수 없는 상태입니다
아랫니를 보시면
턱부터 신경관이 나오는 부분(이공)까지는 임플란트를 식립할 때 신경을 건드리면 안되니…조심스러운데요
아랫니가 빠지고 오랜 시간 동안 방치되어 잇몸뼈는 흡수되었고
아래 어금니에 임플란트를 식립하려면
많은 잇몸뼈 이식이 필요한 상황입니다
아래 어금니에 잇몸뼈 이식과 함께 임플란트를 식립하는 것은 가능하지만
비용과 시간, 환자분께서 고생하시는 것을 생각할 때
아랫니는 뼈이식 없이 이공과 이공 사이~ 신경관이 없는 부분에 임플란트를 식립 할 예정입니다

신경관을 피해 임플란트 4개를 식립했습니다
저희 광진구 서울에스치과에서는 임플란트 식립 전 CT 장비로 정밀 진단을 합니다
CT 장비는 X-ray보다 3000배 이상 정확함과 정밀도로
치아 병소 위치, 깊이, 해부학적 턱뼈의 구조 등을 자세히 파악할 수 있는 장비로
정확한 진단 후 임플란트 수술을 하기 때문에 정확하고 안전한 임플란트 수술을 기대할 수 있습니다

신경을 피해 이공과 이공 사이에 임플란트 4개를 식립 후 바로 임시 치아를 결합했습니다
이공과 이공사이에는 잇몸뼈가 튼튼해
임플란트와 잇몸뼈가 잘 고정되었기 때문에 수술 후 바로 임시치아를 결합할 수 있었습니다

내원 당일 치료 후 모습입니다
아랫니 임플란트 4개 식립 후 임시치아를 연결한 모습이고
윗니는 치주염 때문에 치아를 발치하고 미리 제작해 둔 틀니를 결합했습니다
임플란트 치료 계획을 세울 때 임플란트를 정확한 위치에 식립하고 보철물을 연결해 치료를 끝내는 것도 중요하지만
임플란트 치료기간 동안 환자분께서 생활하는데 불편함 없게
환자분 입장에서 생각하고 필요한 것을 미리미리 준비해
치료 기간 동안 환자분이 불편함을 느끼지 않게 하는 것도 임플란트 치료의 중요한 과정입니다
윗니의 경우 뼈이식이 필요한 상태로 치아 발치 후 2달 정도 잇몸이 아물기를 기다린 후
뼈이식과 함께 임플란트를 식립 할 예정입니다
X-ray 사진을 보시면

윗니의 잇몸뼈 상태를 확인할 수 있는 X-ray 사진입니다
윗니는 대부분 잇몸뼈가 많이 부족한 상황입니다
어금니 부분은 아무리 잇몸뼈가 부족해도 상악동 거상술 잇몸뼈이식으로 임플란트 식립이 가능한데
코밑에 잇몸뼈가 부족한 경우..
잇몸뼈이식의 난도가 높아서 이 부분이 고민되는 상황이었습니다

윗니 상악동 거상술 잇몸뼈이식과 함께 임플란트 6개를 식립한 모습입니다
앞에서도 말씀드렸는데
코밑 부분에 잇몸뼈이식은 난이도가 높고 부작용이 생길 수 있기 때문에 고민이었는데….
현재 식립 된 6개의 임플란트로 보철물을 결합하기에는
보철물 앞니 부분이 길어지기 때문에 만족할만한 결과를 얻기 힘든 상황입니다
임플란트는 정확한 위치에 식립하고 뼈이식을 잘하는 것도 중요하지만 보철물을 연결했을때… 예쁜 보철물
환자분도 만족하고 치과에서도 만족할 만한 보철물을 결합해 드리는 것도 중요하기 때문에
CT 정밀 진단 후 최적의 위치를 찾아 뼈이식을 시행했습니다
코 부위 뼈이식의 경우 난이도가 높고 부작용이 생길 수 있는 수술이지만
정확한 진단 후 수술 했기 때문에 성공적으로 수술을 마칠 수 있었습니다

뼈이식을 하고 있는 모습입니다

뼈이식과 임플란트 식립 후 모습입니다
코 쪽에 임플란트 1개가 뼈이식을 통해 정확한 위치에 식립되었습니다
이제 환자분께서는 보다 이쁜 지르코니아 보철물을 결합할 수 있게 되었습니다

뼈이식 후 잇몸이 볼록 나온 모습입니다
잇몸 속에서 임플란트와 이식된 뼈가 단단히 굳고 있는 중입니다

아랫니, 임플란트와 잇몸뼈가 단단히 굳어 치아를 제작하기 위해 본을 뜨고 있는 모습입니다
본을 뜨기 위해서 장치를 결합한 모습으로 앞에서도 이야기했는데
임플란트를 정확한 위치에 식립하는 것도 중요하지만
최대한 자연스럽고 이쁜 치아를 제작 및 결합하기 위해
저희 광진구 서울에스치과에서는 임플란트 본을 뜰 때 번거로움이 있을 수 있지만
이쁘고 정확한 보철물을 위해 꼭~~ 장치를 이용해 정확히 본을 뜨고 있습니다

장치를 이용해서 본을 뜨고

아랫니 치아를 제작해 결합했습니다
정확한 진단, 임플란트 식립, 본뜨기, 치아 제작 과정을 거쳐 만들어진 아래 치아입니다
각각의 과정에서 오차 없이 치료를 진행했기 때문에
환자분에게 딱 맞는 아랫니가 완성되었습니다

윗니도 보철물을 결합했습니다
상악동 거상술 잇몸뼈이식, 코밑 뼈이식을 통해 임플란트 7개를 식립했고
환자분께 어울리는 최상의 보철물 제작 후 결합했습니다
윗니 역시 이쁘고 튼튼하게 치료가 마무리된 모습입니다

측면 치아 모습입니다
잇몸 부분을 보시면 자연스러운 치아를 만들기 위해
잇몸 부분도 잇몸 색 포세린으로 제작했습니다
최상의 결과를 위해서는 이런 꼼꼼한 치료 과정이 있어야 한답니다^^

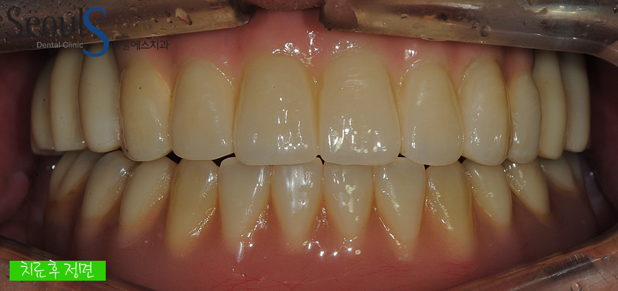
정면 치아 모습입니다
각각의 과정을 꼼꼼히 그리고 정확히 진행한 결과
정확한 임플란트 식립, 자연스러운 보철물 제작 및 결합 후 모습입니다
어떤가요? 실제 치아처럼 자연스럽게 치료가 마무리된 모습이죠^^

모든 치료가 끝난 후 X-ray 사진입니다
정확한 위치에 임플란트 식립, 성공적인 뼈이식, 튼튼하고 이쁜 보철물로
무치악 상태의 환자분에게 튼튼하고 예쁜 치아를 복원해드렸습니다

치료 전후 모습입니다
치주염으로 대부분의 치아를 상실했는데 임플란트 치료로 모든 치아를 복원한 증례입니다
광진구 서울에스치과 무치악 임플란트 치료 과정에 대해서 알려드렸습니다
정확한 진단, 꼼꼼한 치료, 최상의 재료 사용으로
서울에스치과는 환자분께 평생 사용하실 수 있는 임플란트 치료를 해드리고 있습니다
