{덧니 교정}
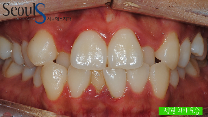
정면 치아 모습입니다
영구치가 나올 때 공간이 너무 부족해 덧니가 난 모습입니다
위아래 치아 모습입니다
공간에 비해서 치아가 빽빽하게 삐뚤게 난 모습입니다

측면 모습입니다
처음에 환자분께서는 올세라믹(치아성형)을 생각하고 치과에 오셨습니다
올세라믹 치료는 치료기간이 빠르고 예쁜 치아를 얻을 수 있지만
치아를 삭제해야 하는 단점이 있는 치료입니다
치과에서 판단할 때 올세라믹 치료도 예쁜 치아를 얻을 수 있지만
환자분의 경우
가장 좋은 치료방법은 치아교정이라 판단했습니다
상담 과정에서 환자분도 치아교정 치료를 선택했고
교정진단을 했습니다
교정진단은
파노라마 X-ray 촬영, 측면 X-ray 촬영, 진단 모형 제작 및 분석 후 컴퓨터 교정 프로그램( V-ceph)에 입력해서
정확한 교정진단을 하고 환자분께 가장 좋은 교정 방법을 제시해드립니다
진단 후 치아에 교정 장치를 부착해 서서히 이동시키고 있습니다

작은 어금니 발치 후 발치 된 공간으로 삐뚤게 난 치아를 가지런하게 이동시키고 있습니다

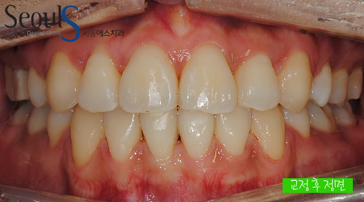
교정 후 정면 치아 모습입니다
가지런하게 치아가 교정된 모습입니다
단, 치아색이 착색 된 모습으로
밝고 가지런한 예쁜 치아를 위해서
미백 치료를 해드렸습니다

전문가 미백 치료 후 모습입니다
치아색이 어두웠던게 아쉬웠는데
전문가 미백 치료로 밝고 가지런한 치아로 마무리 할 수 있었습니다
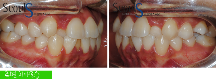
교정 전후 측면 모습입니다
삐뚤게 난 치아가 가지런하게 교정된 모습입니다
반대편 측면 전후 모습입니다

윗니 교정 전후 모습입니다
아랫니 교정 전후 모습입니다
아랫니 역시 예쁘게 교정된 모습입니다
최승원 원장의 동영상 증례설명
