{치아교정 아래위 교합이 맞지 않을 때}
정면 치아 모습
입을 다물었을 때 아래위 치아사이에 공간이 생긴 모습입니다
정상적인 교합은 입을 다물었을 때 윗니가 아랫니를 가려야 하는데
윗니가 아랫니와 닿지 않는 모습으로 심미성 뿐만 아니라
치아 기능에도 불편함이 있습니다
앞니는 음식물을 자르는 역할을 하는데
공간이 생겨서
냉면이나 국수같이 얇은 음식을 끊을 수 없으니…. 식사를 하실 때 불편함을 느끼실 수 있습니다
측면 모습입니다
측면 역시 입을 다물었을 때 공간이 있고
어금니 하나가 빠졌는데 임플란트 치료를 계획했습니다
반대편 측면 모습 또한 공간이 있고 브릿지로 치료받은 치아가 있는데
브릿지가 오래돼서 교체 치료를 계획했습니다
측면 모습을 좀 더 자세히 보겠습니다
어금니가 빠졌고 윗니를 보시면 치아 틈을 레진으로 때웠던 흔적이 있습니다
레진 제거 후 교정치료로 틈을 개선할 예정입니다
반대편 측면 모습입니다
아랫니도 레진으로 때웠던 흔적이 보입니다
아랫니 역시 레진 제거 후 교정 치료를 진행 할 예정입니다
그리고 오래된 브릿지는 치아색 브릿지로 교체 치료를 진행했습니다
아래위 치아 모습입니다

교정 진단 과정입니다
진단 모형을 제작 및 3차원 분석,
측면 X-ray 촬영, 파노라마 X-ray 촬영 후 컴퓨터 교정 프로그램(V-ceph)에 입력해
진단을 하며
진단 후 환자분에게 가장 좋은 교정 방법을 제안해드립니다
위아래 앞니 부분에 레진을 제거하고 교정 장치를 부착한 모습입니다
교정장치 부착 후 치아를 서서히 이동시켜서
치아 틈, 아래위 교합을 개선하고 있습니다
치아에 장치 부착 후 측면 모습입니다
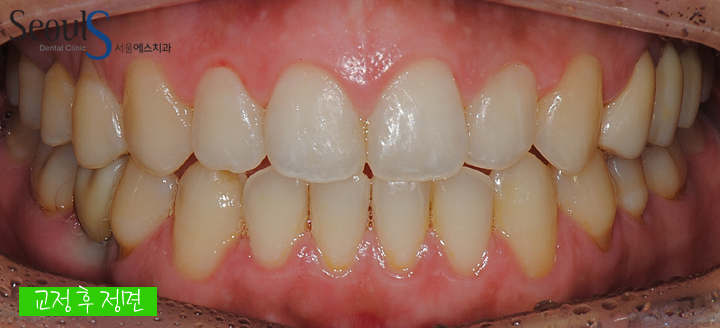
교정 후 정면 모습입니다
위아래 치아의 교합과 앞니 라인이 맞는 모습이고
치아에 있던 틈도 없어진 모습입니다
그리고 윗니 오래된 브릿지는 교체 치료를 했고 빠졌던 어금니는 임플란트 치료를 했습니다
교정 전후 정면 모습입니다
정확한 진단 및 계획 후 치아의 문제점들을 하나하나 치료한 모습입니다
입을 다물었을 때 측면 모습으로
치아 틈과 맞지 않았던 교합이 치료되었고 빠졌던 어금니는 임플란트로 회복시켰습니다
치료 전후 측면 모습입니다
예쁘고 정확하게 치료된 모습이죠^^
반대편 측면 모습입니다
반대편 역시 교합과 치아 틈이 치료되었고
오래된 브릿지는 예쁜 치아색 브릿지로 교체했습니다
치료 전후 측면 모습입니다

교정 후 아래위 치아 모습입니다
예쁘게 교정치료가 마무리된 모습입니다
이번 증례와 같이 치아의 교합이 맞지 않는 경우 교정치료로 개선이 가능합니다
단 아래위 치아의 교합이 잘 안 맞아서 교정치료를 받은 경우 재발될 가능성이 다른 케이스에 비해서 비교적 많기 때문에
교정 후 유지 장치 및 검진에 충실하셔야합니다
