앞니 크라운 치료를 받았던 치아였습니다
치료 받았던 크라운 속으로 충치와 염증이 깊게 진행되고 있었습니다

크라운을 제거하니 충치와 염증이 진행되고 있는 모습입니다
안타깝지만 충치와 염증이 뿌리까지 진행되고 있었기 때문에
치아를 살릴 수 없는 상태였습니다
발치 후 즉시 임플란트 치료를 계획했습니다

발치 후 임플란트를 식립했습니다
치아를 발치하면 발치와라는 빈 공간이 생기는데
발치와가 임플란트와 딱맞는게 아니기 때문에 사진과 같이 빈 공간이 생깁니다
빈 공간은 세포 활성이 좋아 시간이 지나면 잇몸뼈가 차오르게 되는데
그 기간 동안 음식물이 들어갈 수 있고 감염이 생길수 있기 때문에
저희 서울에스치과는 빈공간을 PRF로 메웁니다
PRF는 상처를 치유를 돕고 뼈를 빨리 재생 시키고 통증을 감소시키는 역할을 합니다
PRF에 대해서 자세히 알고 싶다면 아래 링크를 참고해 주세요
임플란트 식립 후 빈 공간을 PRF로 메웠습니다
PRF 치료로 통증이 줄어들고 잇몸뼈와 잇몸의 빠른 회복을 기대 할 수 있습니다

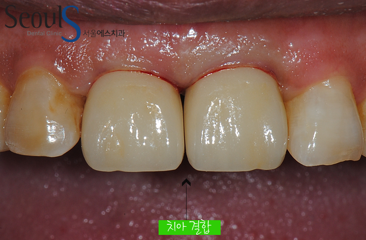
임시 치아를 결합한 모습입니다
임시 치아는 치료 기간 동안 사회 생활하는데 불편함을 덜어드리고
환자분과 보면서 제작 될 치아의 형태와 색, 잇몸 라인에 대해 이야기 하고
여러번의 수정과정을 거칩니다
임시 치아를 보시면 빈 공간을 만들었는데 이는 잇몸이 회복 되는 과정에서 빈 공간을 채우는걸 기대할 수 있습니다

시간이 지나 잇몸이 임시 치아의 빈 공간을 메웠습니다
앞니 치료는 치아의 형태와 색 뿐만아니라 잇몸 라인도 중요하기 때문에
저희 서울에스치과는 잇몸도 최대한 예쁘게 치료하기 위해 노력합니다^^
임시치아 과정을 거쳐 치아를 결합했습니다
치아의 형태, 색, 잇몸 라인 모두 예쁘게 치료된 모습입니다

치료 전후 모습입니다
살릴 수 없는 앞니~ 발치 후 임플란트를 식립해 치아를 회복한 모습입니다
